01
01

Oriental Beauty Disease

Oriental Beauty Disease

Oriental Beauty Diseaseはまれな病気です。30歳以下の若い女性が、70歳女性のような血管の老化に悩まされます。重症化すると命にかかわることもあります。しかし、その原因は未だ解明されていません。

発症率:2.6人/100万人、30歳以前が約90%、40歳以降は少ない傾向にあります。

1908年、日本の眼科医 Mikito Takayasuが日本眼科学会総会で初めてT.A. (Takayasu Arteritis: Takayasu動脈炎)の症例を報告しました。彼は、患者の網膜に「花輪のような」血管が見えることを最初に発見しました。またこの病衣は橈骨動脈では脈が非常に弱く、触知できないこともありました。その後、この病気は中国、日本、インドなど東洋の国々に多く、特に若い女性に多いことが判明しました。そのため、この病気はしばしば「Oriental Beauty Disease」と呼ばれています。

「Oriental Beauty Disease」の学名はTakayasu Arteritis:T.A.で、リウマチの自己免疫疾患です。大動脈や分枝に慢性的な非特異的炎症が生じ、動脈の狭窄や閉塞、さらには血栓症を引き起こします。初期には動脈周囲炎や外膜炎などの症状が現れ、その後徐々に血管の中層、内層に到達します。後期には血管壁の全層が破壊され、動脈線維化が主な問題となります。

発熱、倦怠感、体重減少、筋肉痛、視力低下、四肢の脱力や痛み、上腕動脈や大腿動脈の脈が弱くなるなど、一連の虚血性症状や徴候が見られます。重症の場合は、脳卒中や腎不全などの症状が現れることもあります。早期診断が治療の指針となり、予後を改善する上で大きな意義があります。早期かつ効果的な治療により、動脈の線維化、動脈瘤、血管の狭窄や閉塞を防ぐことができます。

02
02

Facilitates Early Diagnosis of T.A

Facilitates Early Diagnosis of T.A

T.A.の臨床症状は非常に不均一であり、検査で特異的な抗体が得られない、画像診断で象徴的な特徴がない、診断のゴールドスタンダードがないなどの要因が臨床診断と治療を困難にします。その結果、多くのケースで診断と治療の遅れにつながっています。

初期の血管に形態的な変化がない場合、通常の画像検査では血管の炎症に対する感度が低く、T.A.の早期診断は困難です。PET/CTを用いた検査で、解剖学的代謝情報と機能的代謝情報を組み合わせることで、血管炎症における血管壁の代謝亢進の発現を効果的に示し、血管の形態的特徴を評価することができます。ユナイテッド イメージング ヘルスケアの光誘導型デジタルPET/CTは、軸方向の視野が長く、高感度、高解像度で、遅延走査における大血管代謝異常の撮影をさらに支援し、T.A.の診断に半定量的な指標を提供し、診断の精度を効果的に向上させることができると予想できます。

03
Clinical Case
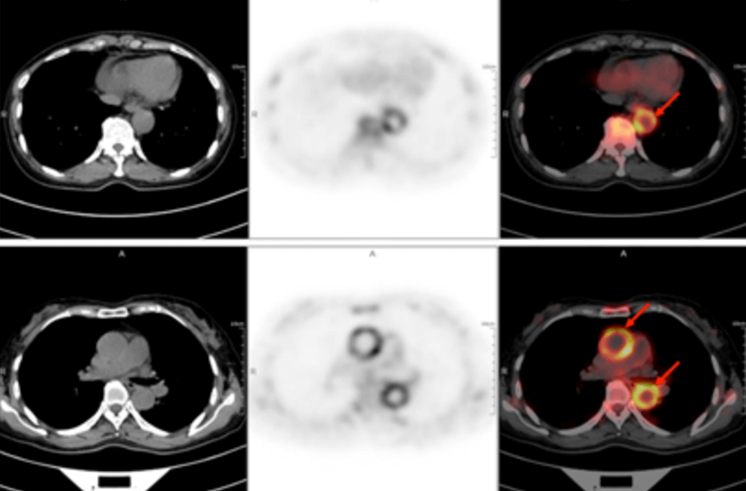
58歳の女性が40日以上前から断続的に発熱しているため受診しました。体温は38.9℃で、寒気、痰、喀血、胸痛、胸部圧迫感、息切れなどの症状はなく、倦怠感、肩関節痛が午後から夜間にかけて特に強く現れました。セファロスポリン系抗生物質の静脈内投与を2週間続けても改善は見られず、断続的な発熱が続いていました。外来診療では「原因不明の発熱」と指摘され、身体検査では明らかな診断上の特徴はありませんでした。血液検査の結果は以下の通りでした。赤血球沈降速度(最初の1時間):72mm、高感度C反応性蛋白:204. 20mg/lでした。その後、原因不明の発熱の原因を探るため、全身 F-FDG PET-CT 検査を行いました。
PET/CT 画像では,全身数カ所(両側内頚動脈,総頚動脈,腕頭動脈,両側鎖骨下動脈,腋窩動脈,胸部大動脈,腹部大動脈,両側総腸骨動脈,内腸骨動脈,外腸骨動脈,大腿動脈)に糖代謝亢進を伴う壁厚化を認め,炎症性変化によるものと判断しました。病歴、臨床症状、検査、画像所見を総合してT.A.と診断し、標準的な抗炎症治療を行ったところ、体温が低下し病状が改善しました。
04
04

Summary

本症例は、T.A.の診断にF-FDG PET/CTを適用した典型的な例です。

F-FDG PET/CTは、T.A.の診断と活動期における疾患活動性を評価することができます。また、全身をスキャンすることにより、病変の領域を把握し、動脈生検の場所を決定する根拠となります。また、治療後の患者さまの反応をモニターすることで、疾患集積部位の代謝亢進を定性的に示すことができます。その半定量的指標SUVmaxは、T.A.の活動性の感度や特異性の検出において、ESRやCRPなどの血清指標を上回り、診断の精度を高めることができます。