01

High-Definition Field of Vision on Imaging

「私は初診でリンパ腫のステージ4と診断されました。Dr. Tangは、あまり神経質になる必要はない、むしろステージ4のリンパ腫は進行がんではなく、治る可能性が高い、と慰めてくれました。」
Li Kaifuの「Death to Life」という本を読んで、自分の人生が「ステージング」されたものであることを知ったとき、彼はとにかく世界を受け入れようと決心したのです。

TNM病期分類は、現在、世界で最も広く使われている病期分類です。原発性腫瘍の位置、浸潤、広がりについて、画像診断の手法で関連情報を提供することができます。がんの病期を決定する上で最も重要な検査方法の一つです。
PET/MRは分子機能と構造画像を完全に結合し、腫瘍、心血管疾患、神経疾患、小児疾患、炎症性疾患の臨床診断に欠かせない手段として役立っています。

しかし、PET/MRが発売されてから10年以上が経ちますが、スキャン効率に限界があります。PETの短いAFOVでは全身撮影のニーズを満たすことができないため、複数のベッドポジションにまたがって患者さまをスキャンする必要があり、スキャン時間が長くなりスループットが低下していました。

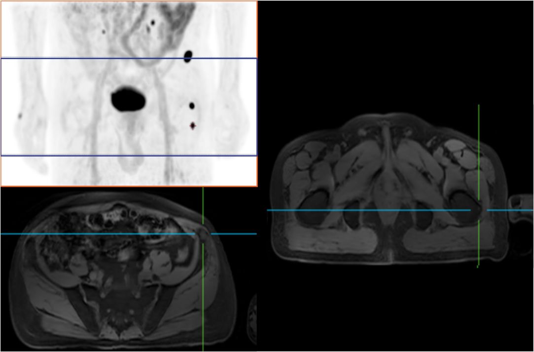
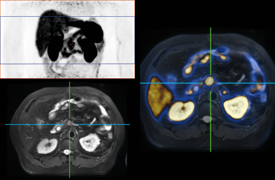
AFOVが、従来の20cm~25cmのPET装置と比較して、32cmの長尺AFOVであることにより、感度が向上するだけでなく、全身の主要臓器や転移が考えられる局所リンパ系において1ベッドポジションでがんのTNステージを実現することが可能となります。

従来、腫瘍系のPET/MR撮影には約35~50分かかっていました。長いAFOVは、PET/MRの腫瘍スキャン方式をさらに最適化することができます。局所PET/MRスキャン後に腫瘍の局所リンパ転移の有無に基づいて全身をスキャンするかどうかの判断を最適化でき、転移のない患者さまのスキャン時間を短縮できる可能性があります。

2019年8月、Peking Cancer Hospitalはユナイテッド イメージング ヘルスケアのPET/MRを導入し、長いAFOV下でのがんTNM病期決定の徹底的な探求と最適化を行いました。500例以上の様々な臓器のスキャンにより、長い AFOV PET/MRは1つのベッドポジションでのスキャン範囲を大幅に拡大し、がんTNMステージングの効率を向上させることができることが証明されました。

02
Clinical Cases
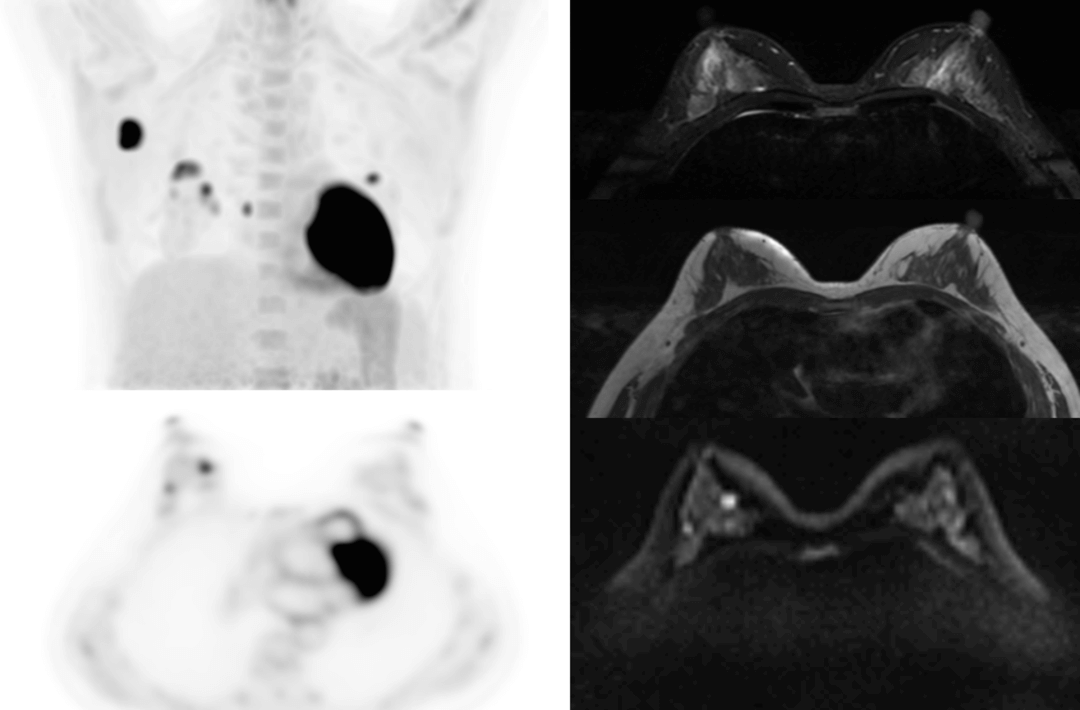
乳がん、食道がん、前立腺がんなどのTNMステージングを「時空間統合」ULTRA-clear TOF PET/MRの長軸視野で最適化した事例を紹介します。
Thanks to Capital Medical University Xuanwu Medical Treatment for providing the image.