uCS®2.0 Platform
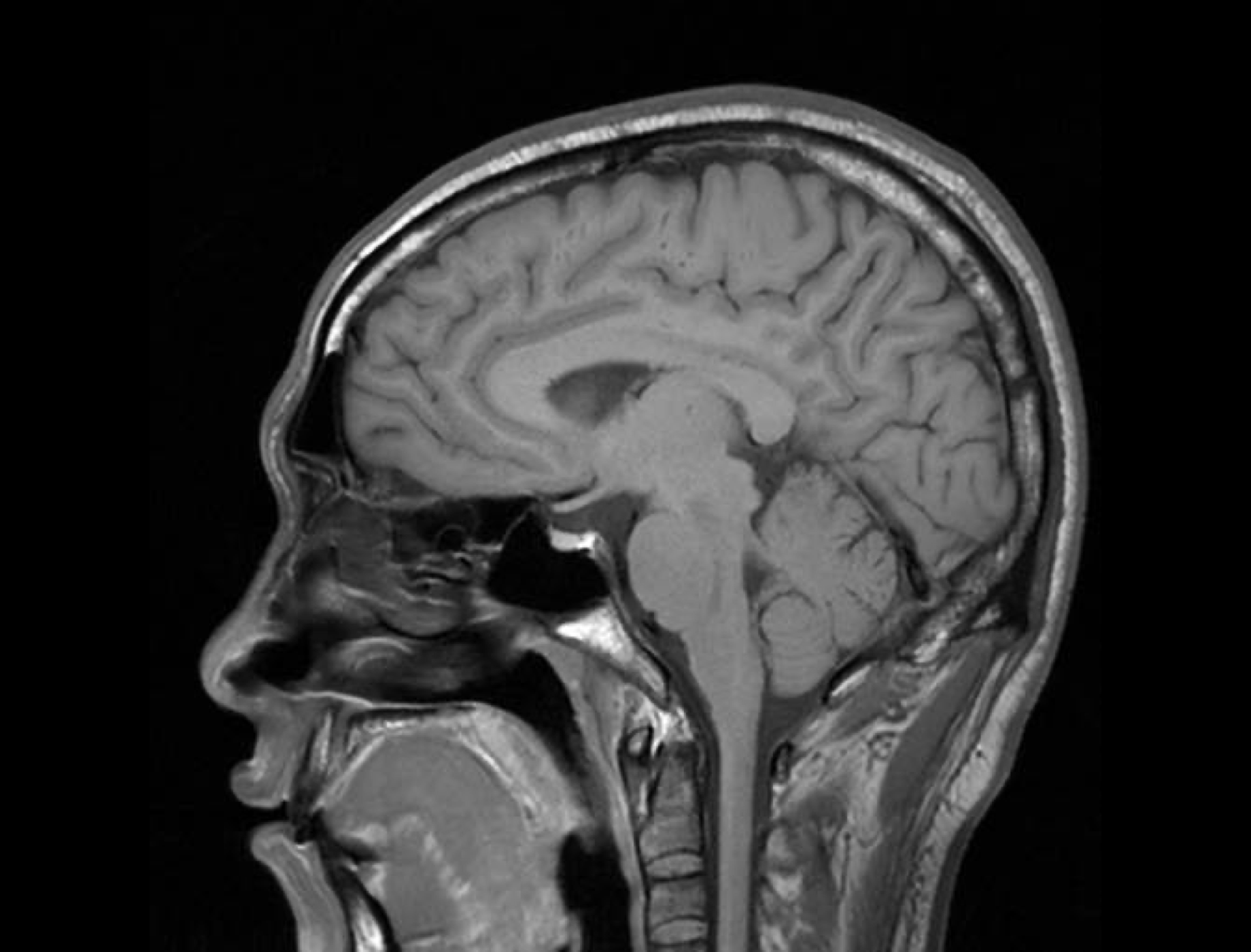
uCS®2.0イメージング・テクノロジーは、従来の加速技術と革新的な圧縮センシングの強みを組み合わせ、最大加速度16倍、1mm以下のアイソボクセル空間分解能により、MRIのスキャン時間の短縮と高い画像分解能を実現します。
uCS®2.0 プロセッシングエンジンは、メモリ、データネットワーク、最高峰のCPUを含む高性能なコンピューティングハードウェアプラットフォームです。画像再構成アルゴリズムが卓越した計算能力を補完し、超高速再構成を実現します。

