16 cm Z-axis Detector Coverage

低ノイズを実現するTSV(Through-Silicon-Via)
技術。
3Dプリンティング技術により、効果的な散乱線除去を実現。
ワイドカバレッジシステムに伴うコーンビームアーチファクトを軽減。
Attainable Intelligence.
Simply Masterful.
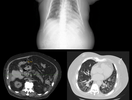
640スライスCTスキャナーのuCT 960+は、16cmのZ-axis Detectorカバレッジ、0.25秒の回転速度、82cmの超ワイドボア、318kgのテーブル耐荷重を備えています。業界をリードするAIを搭載した技術により、高精度なイメージングと使いやすさを臨床の全領域に提供し、高度なイメージングの時代を切り開きます。
16cm幅のZ-Detector
0.5mのディテクタ収集
0.25秒の回転速度
uAI Vision
uAI CadioCapture
uAI Dose Modulation
82cm ウルトラワイドボア
318kg テーブル耐荷重
60 kVp 対応
低ノイズを実現するTSV(Through-Silicon-Via)
技術。
3Dプリンティング技術により、効果的な散乱線除去を実現。
ワイドカバレッジシステムに伴うコーンビームアーチファクトを軽減。
ダイレクトドライブ モーターシステムと一体化したガントリ構造を採用することで0.25秒の回転速度を実現し、優れた時間分解能、心臓撮影時の高速撮影を可能にします。
選択したプロトコルに基づき、シングルクリックによる正確なスキャン範囲での患者ポジショニングが可能です。
体表線量分布を考慮し、検査ごとに画質を最適化します。
AIを搭載した冠動脈アルゴリズムによるモーション補正を用いることで、実効時間分解能が25ミリ秒に向上しました。
従来の方法では、目標ノイズレベルが1つのため、胸部への照射が過剰になる場合や腹部への照射が不足することがありました。
AI技術を導入することで、胸部と腹部を自動認識し、より最適なノイズと体全体への最適な撮影を可能にします。
堅牢、低線量、高画質な心臓イメージングを1心拍で。
CardioAssist
CardioAdapt
CardioXphase
CardioCaptute
ECGゲートのアキシャルスキャンと非ECGゲートのアキシャル、またはヘリカル撮影の混在撮影。
得られたデータからスペクトル化できる定量的・機能的測定。
テーブルを動かさずに臓器灌流撮影が可能。
可変ピッチヘリックスを使用し、大きなZ-カバレージを持つダイナミック灌流シャトルスキャン(最大撮影範囲 40cm)を実現。
モーションアーチファクトを最小限に抑えるため、全スキャンを0.5秒で完了させることができます。
冠動脈、肺動脈、大動脈を1回の検査で評価することができます。
MPRやVRのプレビュー画像を撮影中にリアルタイムで表示します。
肋骨骨折の総合的かつ正確な解析ができます。
60kVpスキャンは、特に小柄な成人や小児の画質を維持したまま、被ばく線量を低減できます。
強力なプラットフォームとAIを活用したワークフローで、高画質を維持したまま、日々の大きなスループットを実現します。